11月限定の新モニターを発表いたします。
じゃじゃじゃジャーン♡
超お得な11月限定モニター
4Dロイヤルリフト
糸によるフェイスリフトは10年程度前から世に出てきましたが、現在国内で最もシェアを持っている糸のリフトです。溶ける糸で溶けるまでの期間が今までの3倍、組織に引っ掛ける棘の大きさが8倍もある糸です。

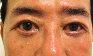
術前 術後

モニター料金(スタンダード 6部位) 348,000円→194,000円
リードファインリフト
院長自らも施術しているプチリフトです。ダウンタイムが心配な方にもおすすめです。


術前 術直後
今、最も注目されている特殊な美容針と糸で肌のハリツヤや軽度のたるみを改善する治療です。美容針による肌質改善効果をもたらす東洋医学的側面と糸によるリフトアップをもたらす西洋医学的側面とが融合した最先端のアンチエイジング法です。
モニター料金 フェイスライン 98,000円→47,000円
ホホ 146,000円→68,000円
ヒアルロン酸豊胸(ハイアコープ)

最もお手軽な治療法として好評を博しているのが、ヒアルロン酸豊胸です。 メスを使わずに縫合の必要のない程の小さな穴からヒアルロン酸を注入していきます。 豊胸専門医の院長が編み出した『プルミエ注入法』でしこりがおきないように丁寧に細かい粒子を置いていくような感覚でその方の要望に応じた形に注入していきます。 そのため、術後の痛みもほとんどなくその日から仕事もできます。
手術時間は30分程度で、シャワーは当日から可能、入浴も翌日から可能です。
モニター料金(1㏄につき) 2800円→1900円
FGF治療
FGF治療は肌の再生を促し、失われたコラー ゲンを取り戻し 肌のはり、ちりめんジワを改善する治療です。FGFはfibroblast growth factorの略でfibroblastと は線維芽細胞を指します。この線維芽細胞がコラーゲンやエラスチンの生成を活性化させるのです。治療効果は1ヶ月から6ヶ月かけ てゆっくり起こります。急激な変化を気にする方にもオススメです。
対応部位は法令線、目の上、目の下、口角、額、首、手の甲など多彩なシワに効きます。
今回は特別に通常2万円のマイクロカニューレをお付けします。
モニター料金 93,500円→24,800円

脂肪溶解注射(メソセラピー)
メソセラピーは、注射を用いて治療部位に直接有効成分を注入する治療法です。現在ではメソセラピーといえば脂肪溶解に用いられることが多く、その場合は大豆成分のレシチン(フォスファチジルコリン)と痛みを軽減する麻酔を含む薬剤の注射が標準的です。
レシチン(フォスファチジルコリン)は脂肪細胞内でのコレステロール溶解を増加させ、コレステロールとトリグリセリド(中性脂肪)の代謝作用を調節します。この作用によりトリグリセリドは遊離脂肪酸として血管の中に移動し、腸管を経て体外に排出されます。
脂肪を溶解するため確実にサイズダウンすることができ、食事制限によるダイエットに比べリバウンドしにくいというメリットがあります。
個人差はありますが、通常2~3回の治療から皮下脂肪の減少を実感できます。 治療は通常2~3週間に1回ですが、最終的に必要となる治療回数については、治療希望部位の範囲や脂肪組織の状態によって異なります。
これも5回コース・マイクロカニューレ付
モニター料金 198,000円→118,000円

モニターになるには
モニター応募希望の方は下記メール宛てにご応募お願いいたします。
hiroshima.premier1@gmail.com
応募の際は
・お名前
・性別
・ご連絡先(電話番号)
・モニターご希望の施術内容
をご記入下さい。
後日、当院からご連絡させていただきます。
ご連絡後はカウンセリングを受けていただき、ドクターによるモニター審査を行います。
※メールを送信して1週間以内に当院からご連絡がない場合は、メールが届いていない場合がございますので、大変申し訳ありませんが、[電話:0120-165-800]へご連絡ください。